首页
学习
活动
专区
圈层
工具
发布
社区首页 >专栏 >多组学文献--早期激活的细胞外基质蛋白塑造肾脏纤维化微环境的代谢和空间动态

多组学文献--早期激活的细胞外基质蛋白塑造肾脏纤维化微环境的代谢和空间动态

原创
作者头像
追风少年i
发布2026-03-16 10:53:38
发布2026-03-16 10:53:38
1160
举报

作者,Evil Genius

省考结束了,大家考的怎么样?我自己都是去凑个分母的,下周还有事业编,大家可要加油了。

早日上岸,躺平生活。

今天我们分享文献

知识积累

纤维化肾微环境受到细胞间通讯、细胞外基质重塑、代谢重编程和空间异质性的共同塑造。

CKD进展的核心是肾脏纤维化,其由细胞外基质的过度沉积所驱动。

ECM的动态变化与病理特征

动态重塑:在纤维化肾脏中,ECM并非静态结构,而是处于持续合成与降解的动态重塑过程中。

结构增厚:作为支架和屏障,ECM会异常增厚(肾小管上皮表面达100-300nm,内皮表面达500nm),改变组织微环境。

生化信号枢纽:ECM不仅能隔离生化信号,还能协调配体-受体的相互作用,从而塑造细胞的微环境。

ECM在CKD进展中的作用

加剧纤维化:随着CKD进展,僵硬的ECM会反过来进一步放大纤维化过程。

成分改变:ECM的核心基质蛋白谱系发生改变,导致其功能异常。

功能崩溃:初步蛋白质组学分析显示,基质体蛋白(如ECM糖蛋白、胶原蛋白、蛋白聚糖)过度活化,最终驱动肾脏走向功能崩溃。

ECM1的双相反应与潜在治疗价值

早期应答:ECM1作为ECM形成和细胞信号传导的关键蛋白,在肾脏损伤后迅速作出响应。

晚期下调:然而,随着CKD的持续进展,ECM1的水平反而下降。

开关作用:基于其“早期升高、晚期降低”的特性,提出了ECM1可能是阻止纤维化的“早期开关”的科学假设。

治疗前景:如果上述假设成立,靶向ECM1将有望通过重新校准细胞内信号和协调细胞相互作用,成为抗纤维化治疗的新策略。

结果1、ECM1是肾损伤后早期激活的核心基质体蛋白

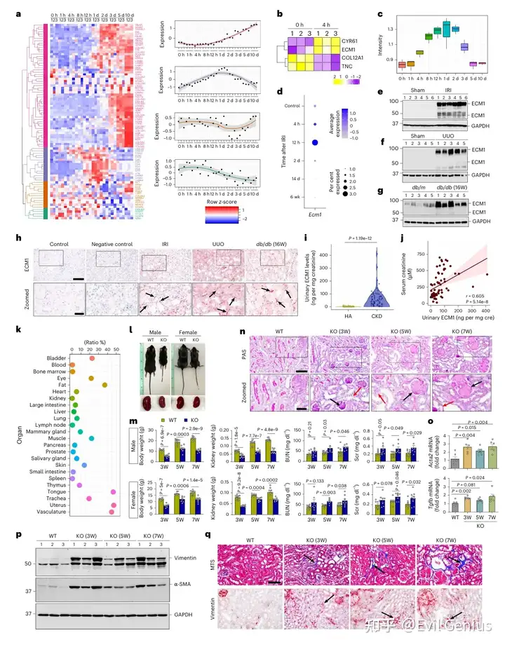
通过蛋白质组学分析,研究发现在肾缺血-再灌注损伤后,ECM1作为核心基质体蛋白在早期(4小时内)即被激活,并在第1天达到表达峰值后逐渐下降,这种双相表达模式在多种CKD小鼠模型(IRI、UUO、DKD)中得到验证;免疫组化显示ECM1主要定位于肾间质,且临床分析表明CKD患者尿液ECM1水平显著升高(约48倍),与肾功能指标强相关,但其在晚期DKD模型中的下降趋势可能提示滤过功能受损。进一步的功能研究显示,全身性Ecm1敲除小鼠出现自发性肾纤维化,表现为体型和肾脏缩小、BUN和Scr水平升高、肾小管扩张及肾小球结构异常,同时纤维化标志物(α-SMA、波形蛋白)和胶原沉积显著增加,证实ECM1缺失直接导致肾脏病理改变和功能损伤。

结果2、ECM1的细胞特异性作用及Ecm1敲低对肾纤维化的缓解效应

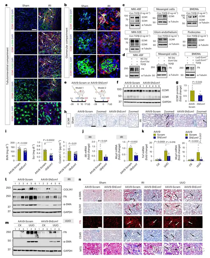
研究通过双重免疫荧光染色明确了ECM1在肾脏中的细胞特异性表达模式:在缺血性损伤及阿霉素肾病模型中,ECM1主要定位于成纤维细胞、周细胞和肾小球系膜细胞,在巨噬细胞中弱表达,而在肾小管上皮细胞、内皮细胞和足细胞中几乎不表达;体外实验进一步证实,TGFβ可强烈诱导成纤维细胞和系膜细胞中ECM1的表达,但对肾小管上皮细胞、内皮细胞和足细胞无诱导作用,且敲低成纤维细胞/系膜细胞中的Ecm1或敲除巨噬细胞中的Ecm1均可显著抑制TGFβ诱导的纤连蛋白产生。体内功能实验显示,通过AAV9-shRNA介导的Ecm1敲低可有效减轻纤维化肾脏中的ECM1表达,改善缺血性CKD小鼠的肾功能指标(Scr、BUN、胱抑素C),降低促炎因子(IL-6、MCP-1、TNF-α)表达,并显著抑制肌成纤维细胞活化、胶原沉积、纤连蛋白积累及免疫细胞浸润,证实靶向Ecm1可多维度缓解肾纤维化进程。

结果3、蛋白质组学揭示Ecm1抑制增强了OXPHOS

为探究Ecm1敲低缓解肾纤维化的机制,研究进行了全局蛋白质组学分析,主成分分析显示AAV9-ShEcm1组与对照组显著分离,共鉴定出654个差异表达蛋白。KEGG和GO富集分析表明,Ecm1敲低后肾脏中氧化磷酸化通路显著上调,蛋白质印迹法证实线粒体呼吸链复合物I-V亚基(ATP5A、UQCRC2、MTCO3、SDHB、NDUFA8)表达增加,同时ATP水平升高,电镜观察显示线粒体形态改善。此外,Ecm1敲低上调了线粒体生物合成关键调控因子Pgc1a的mRNA和蛋白水平,并下调糖酵解相关基因Hk3的表达,提示Ecm1抑制可通过促进线粒体氧化磷酸化、重塑能量代谢方式发挥抗纤维化作用。

结果4、纤维母细胞特异性消融Ecm1缓解纤维化并增强OXPHOS

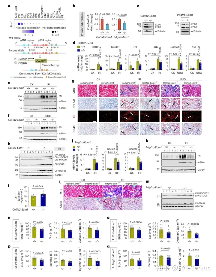
为明确ECM1在成纤维细胞中的特异性作用,研究利用Cre-LoxP系统构建了两种他莫昔芬诱导的成纤维细胞特异性Ecm1条件性敲除小鼠(Col1a2-Ecm1⁻/⁻和Pdgfrb-Ecm1⁻/⁻),其表型与肾功能均正常。在单侧IRI或UUO模型中,两种cKO小鼠的肾脏ECM1表达均显著降低,并表现出纤维化相关基因(Acta2、Col1a1、Col3a1)和促炎因子(Tnf、Il1b)的下调,FN和α-SMA蛋白水平减少,胶原沉积和CD45⁺单核细胞浸润减轻。同时,cKO小鼠肾脏中线粒体OXPHOS复合物I-V表达上调,ATP水平升高。在28天双侧IRI模型中,两种cKO小鼠的肾功能指标(Scr、BUN、胱抑素C)均得到保护,FN表达降低。这些结果表明,成纤维细胞特异性敲除Ecm1可通过抑制炎症和纤维化、增强线粒体氧化磷酸化来缓解肾纤维化并改善肾功能。

结果5、整合素β1介导ECM1-成纤维细胞-管状结构的通讯

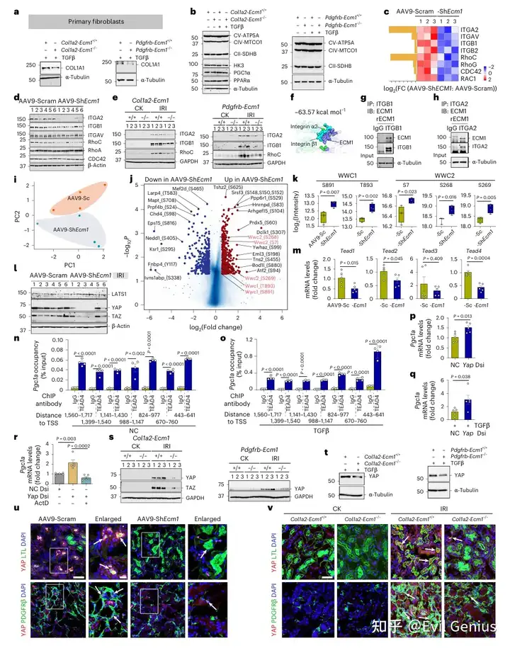
为探究ECM1调控纤维化微环境中线粒体功能的机制,研究发现成纤维细胞Ecm1敲除虽能减轻自身纤维化表型,但并不直接影响其OXPHOS水平,提示ECM1可能通过旁分泌信号影响肾小管细胞能量代谢。蛋白质组学分析显示,Ecm1敲低后整合素α2β1及RhoC表达下调;分子对接预测ECM1与整合素α2β1具有高亲和力结合位点,免疫共沉淀证实ECM1在成纤维细胞中与整合素α2结合,在肾小管细胞中则与整合素β1结合,从而介导细胞间通讯。进一步磷酸化蛋白质组学发现Ecm1敲低后Hippo通路组分WWC1/2高磷酸化,YAP/TAZ及其下游Tead表达受抑。机制上,TGFβ促进TEAD4募集至Pgc1a启动子区抑制其转录,而沉默Yap可解除此抑制并上调Pgc1a表达。在成纤维细胞特异性Ecm1敲除小鼠纤维化肾脏中,YAP/TAZ表达显著降低,且免疫荧光共染证实AAV9-ShEcm1或Col1a2-Ecm1⁻/⁻小鼠肾脏中成纤维细胞与肾小管细胞YAP水平均下降。该研究揭示了ECM1通过整合素α2β1-RhoC轴介导成纤维细胞-肾小管通讯,激活YAP-TEAD4复合物抑制Pgc1a转录,从而下调肾小管OXPHOS的力学-代谢调控通路。

结果6、空间转录组学揭示了纤维母细胞中Ecm1丢失后肾脏微环境的动态变化

为在组织原位解析成纤维细胞特异性Ecm1缺失对肾脏微环境的重塑作用,研究利用10x Visium平台对Col1a2-Ecm1⁺/⁺和Col1a2-Ecm1⁻/⁻小鼠肾脏进行了空间转录组学分析。结果显示,Ecm1主要表达于对照肾皮质,而在cKO肾脏中普遍降低。IRI后,纤维化相关基因(Col1a1、Col1a2、Col3a1)在cKO肾脏中表达下调,并与Ecm1表达呈正相关;而OXPHOS相关基因(Sdhb、Uqcrc1、Uqcrc2)则上调,与Ecm1呈负相关,同时近端肾小管标志物Slc34a1在cKO肾脏中显著增加。通过整合单核RNA测序数据进行细胞类型解卷积,发现cKO肾脏中成纤维细胞活化减弱、肾小管修复增强,细胞间通讯分析进一步证实纤维化相关互作减少而肾小管信号增强。空间邻近分析显示,在纤维化生态位及其邻近细胞中,cKO肾脏的胶原基因表达显著降低,OXPHOS基因表达升高。该研究在组织空间维度上证实,成纤维细胞特异性Ecm1缺失可重塑纤维化微环境,通过抑制基质产生并增强肾小管能量代谢来缓解纤维化进程。

结果7、靶向YAP信号通路可增强管状OXPHOS并减轻纤维化

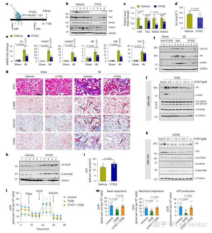
使用TEAD1棕榈酰化抑制剂VT103处理单侧IRI小鼠。结果显示,VT103显著降低YAP、TAZ及TEAD1/4蛋白水平,抑制YAP/TAZ-TEAD转录活性,并改善肾功能(Scr降低),下调纤维化相关基因(Fn、Col1a1、Col3a1)及促炎因子(Il6、Il1b、Tnf)表达,减少COL1A1、FN、α-SMA蛋白水平及胶原沉积,同时上调线粒体OXPHOS复合物并升高ATP水平。体外实验进一步证实,泛TEAD自棕榈酰化抑制剂VT107可有效抑制ECM1诱导的肾小管细胞去分化和TGFβ诱导的成纤维细胞活化,但选择性增强肾小管细胞(TCMK-1)的线粒体OXPHOS功能(基础呼吸、最大呼吸及ATP产生均显著增加),而对成纤维细胞OXPHOS影响微弱。该研究表明,靶向YAP-TEAD信号可通过差异性调控肾小管细胞能量代谢(增强OXPHOS)和成纤维细胞活化,从而缓解肾纤维化。

结果8、在体外实验中,敲低Ecm1在成纤维细胞中通过YAP增强管状细胞OXPHOS

为验证成纤维细胞来源的ECM1对肾小管线粒体功能的调控作用及机制,研究通过体外共培养、条件培养基干预及脱细胞基质支架等体系发现:沉默成纤维细胞Ecm1可抑制TGFβ诱导的成纤维细胞活化及整合素α2表达,而重组ECM1蛋白则促进活化并上调整合素α2、YAP/TAZ水平。将肾小管细胞接种于Ecm1沉默成纤维细胞来源的脱细胞支架,或暴露于其条件培养基/共培养体系后,小管细胞中FN、整合素β1、RhoC、YAP/TAZ表达降低,线粒体OXPHOS复合物上调,糖酵解基因Hk2和脂滴包被蛋白Plin2表达下降;反之,rECM1处理则上调FN、α-SMA、整合素β1、RhoC(而非RhoA)、YAP/TAZ,抑制OXPHOS,下调Ppara和Pgc1a,并诱导F-actin骨架重构。机制上,阻断整合素-FAK信号(PF573228)、选择性抑制整合素α2β1(BTT-3033)或沉默Itgb1/Rhoc均可消除rECM1诱导的纤维化激活及YAP上调,恢复OXPHOS功能及F-actin正常排列。该研究证实,成纤维细胞特异性Ecm1缺失通过干扰整合素α2β1-RhoC轴,抑制肾小管YAP活性,减少YAP核转位及YAP-TEAD4复合物形成,从而解除TEAD4对Pgc1a的转录抑制,增强小管细胞线粒体OXPHOS,重塑促修复微环境以缓解肾纤维化。

最后来看看方法

分子对接

生活很好,有你更好

原创声明:本文系作者授权腾讯云开发者社区发表,未经许可,不得转载。

如有侵权,请联系 cloudcommunity@tencent.com 删除。

原创声明:本文系作者授权腾讯云开发者社区发表,未经许可,不得转载。

如有侵权,请联系 cloudcommunity@tencent.com 删除。

评论
登录后参与评论
0 条评论
热度
最新
推荐阅读
目录
  • 作者,Evil Genius
  • 省考结束了,大家考的怎么样?我自己都是去凑个分母的,下周还有事业编,大家可要加油了。
  • 早日上岸,躺平生活。
  • 今天我们分享文献
  • 知识积累
  • 纤维化肾微环境受到细胞间通讯、细胞外基质重塑、代谢重编程和空间异质性的共同塑造。
  • CKD进展的核心是肾脏纤维化,其由细胞外基质的过度沉积所驱动。
  • ECM的动态变化与病理特征
  • 动态重塑:在纤维化肾脏中,ECM并非静态结构,而是处于持续合成与降解的动态重塑过程中。
  • 结构增厚:作为支架和屏障,ECM会异常增厚(肾小管上皮表面达100-300nm,内皮表面达500nm),改变组织微环境。
  • 生化信号枢纽:ECM不仅能隔离生化信号,还能协调配体-受体的相互作用,从而塑造细胞的微环境。
  • ECM在CKD进展中的作用
  • 加剧纤维化:随着CKD进展,僵硬的ECM会反过来进一步放大纤维化过程。
  • 成分改变:ECM的核心基质蛋白谱系发生改变,导致其功能异常。
  • 功能崩溃:初步蛋白质组学分析显示,基质体蛋白(如ECM糖蛋白、胶原蛋白、蛋白聚糖)过度活化,最终驱动肾脏走向功能崩溃。
  • ECM1的双相反应与潜在治疗价值
  • 早期应答:ECM1作为ECM形成和细胞信号传导的关键蛋白,在肾脏损伤后迅速作出响应。
  • 晚期下调:然而,随着CKD的持续进展,ECM1的水平反而下降。
  • 开关作用:基于其“早期升高、晚期降低”的特性,提出了ECM1可能是阻止纤维化的“早期开关”的科学假设。
  • 治疗前景:如果上述假设成立,靶向ECM1将有望通过重新校准细胞内信号和协调细胞相互作用,成为抗纤维化治疗的新策略。
  • 结果1、ECM1是肾损伤后早期激活的核心基质体蛋白
  • 通过蛋白质组学分析,研究发现在肾缺血-再灌注损伤后,ECM1作为核心基质体蛋白在早期(4小时内)即被激活,并在第1天达到表达峰值后逐渐下降,这种双相表达模式在多种CKD小鼠模型(IRI、UUO、DKD)中得到验证;免疫组化显示ECM1主要定位于肾间质,且临床分析表明CKD患者尿液ECM1水平显著升高(约48倍),与肾功能指标强相关,但其在晚期DKD模型中的下降趋势可能提示滤过功能受损。进一步的功能研究显示,全身性Ecm1敲除小鼠出现自发性肾纤维化,表现为体型和肾脏缩小、BUN和Scr水平升高、肾小管扩张及肾小球结构异常,同时纤维化标志物(α-SMA、波形蛋白)和胶原沉积显著增加,证实ECM1缺失直接导致肾脏病理改变和功能损伤。
  • 结果2、ECM1的细胞特异性作用及Ecm1敲低对肾纤维化的缓解效应
  • 研究通过双重免疫荧光染色明确了ECM1在肾脏中的细胞特异性表达模式:在缺血性损伤及阿霉素肾病模型中,ECM1主要定位于成纤维细胞、周细胞和肾小球系膜细胞,在巨噬细胞中弱表达,而在肾小管上皮细胞、内皮细胞和足细胞中几乎不表达;体外实验进一步证实,TGFβ可强烈诱导成纤维细胞和系膜细胞中ECM1的表达,但对肾小管上皮细胞、内皮细胞和足细胞无诱导作用,且敲低成纤维细胞/系膜细胞中的Ecm1或敲除巨噬细胞中的Ecm1均可显著抑制TGFβ诱导的纤连蛋白产生。体内功能实验显示,通过AAV9-shRNA介导的Ecm1敲低可有效减轻纤维化肾脏中的ECM1表达,改善缺血性CKD小鼠的肾功能指标(Scr、BUN、胱抑素C),降低促炎因子(IL-6、MCP-1、TNF-α)表达,并显著抑制肌成纤维细胞活化、胶原沉积、纤连蛋白积累及免疫细胞浸润,证实靶向Ecm1可多维度缓解肾纤维化进程。
  • 结果3、蛋白质组学揭示Ecm1抑制增强了OXPHOS
  • 为探究Ecm1敲低缓解肾纤维化的机制,研究进行了全局蛋白质组学分析,主成分分析显示AAV9-ShEcm1组与对照组显著分离,共鉴定出654个差异表达蛋白。KEGG和GO富集分析表明,Ecm1敲低后肾脏中氧化磷酸化通路显著上调,蛋白质印迹法证实线粒体呼吸链复合物I-V亚基(ATP5A、UQCRC2、MTCO3、SDHB、NDUFA8)表达增加,同时ATP水平升高,电镜观察显示线粒体形态改善。此外,Ecm1敲低上调了线粒体生物合成关键调控因子Pgc1a的mRNA和蛋白水平,并下调糖酵解相关基因Hk3的表达,提示Ecm1抑制可通过促进线粒体氧化磷酸化、重塑能量代谢方式发挥抗纤维化作用。
  • 结果4、纤维母细胞特异性消融Ecm1缓解纤维化并增强OXPHOS
  • 为明确ECM1在成纤维细胞中的特异性作用,研究利用Cre-LoxP系统构建了两种他莫昔芬诱导的成纤维细胞特异性Ecm1条件性敲除小鼠(Col1a2-Ecm1⁻/⁻和Pdgfrb-Ecm1⁻/⁻),其表型与肾功能均正常。在单侧IRI或UUO模型中,两种cKO小鼠的肾脏ECM1表达均显著降低,并表现出纤维化相关基因(Acta2、Col1a1、Col3a1)和促炎因子(Tnf、Il1b)的下调,FN和α-SMA蛋白水平减少,胶原沉积和CD45⁺单核细胞浸润减轻。同时,cKO小鼠肾脏中线粒体OXPHOS复合物I-V表达上调,ATP水平升高。在28天双侧IRI模型中,两种cKO小鼠的肾功能指标(Scr、BUN、胱抑素C)均得到保护,FN表达降低。这些结果表明,成纤维细胞特异性敲除Ecm1可通过抑制炎症和纤维化、增强线粒体氧化磷酸化来缓解肾纤维化并改善肾功能。
  • 结果5、整合素β1介导ECM1-成纤维细胞-管状结构的通讯
  • 为探究ECM1调控纤维化微环境中线粒体功能的机制,研究发现成纤维细胞Ecm1敲除虽能减轻自身纤维化表型,但并不直接影响其OXPHOS水平,提示ECM1可能通过旁分泌信号影响肾小管细胞能量代谢。蛋白质组学分析显示,Ecm1敲低后整合素α2β1及RhoC表达下调;分子对接预测ECM1与整合素α2β1具有高亲和力结合位点,免疫共沉淀证实ECM1在成纤维细胞中与整合素α2结合,在肾小管细胞中则与整合素β1结合,从而介导细胞间通讯。进一步磷酸化蛋白质组学发现Ecm1敲低后Hippo通路组分WWC1/2高磷酸化,YAP/TAZ及其下游Tead表达受抑。机制上,TGFβ促进TEAD4募集至Pgc1a启动子区抑制其转录,而沉默Yap可解除此抑制并上调Pgc1a表达。在成纤维细胞特异性Ecm1敲除小鼠纤维化肾脏中,YAP/TAZ表达显著降低,且免疫荧光共染证实AAV9-ShEcm1或Col1a2-Ecm1⁻/⁻小鼠肾脏中成纤维细胞与肾小管细胞YAP水平均下降。该研究揭示了ECM1通过整合素α2β1-RhoC轴介导成纤维细胞-肾小管通讯,激活YAP-TEAD4复合物抑制Pgc1a转录,从而下调肾小管OXPHOS的力学-代谢调控通路。
  • 结果6、空间转录组学揭示了纤维母细胞中Ecm1丢失后肾脏微环境的动态变化
  • 为在组织原位解析成纤维细胞特异性Ecm1缺失对肾脏微环境的重塑作用,研究利用10x Visium平台对Col1a2-Ecm1⁺/⁺和Col1a2-Ecm1⁻/⁻小鼠肾脏进行了空间转录组学分析。结果显示,Ecm1主要表达于对照肾皮质,而在cKO肾脏中普遍降低。IRI后,纤维化相关基因(Col1a1、Col1a2、Col3a1)在cKO肾脏中表达下调,并与Ecm1表达呈正相关;而OXPHOS相关基因(Sdhb、Uqcrc1、Uqcrc2)则上调,与Ecm1呈负相关,同时近端肾小管标志物Slc34a1在cKO肾脏中显著增加。通过整合单核RNA测序数据进行细胞类型解卷积,发现cKO肾脏中成纤维细胞活化减弱、肾小管修复增强,细胞间通讯分析进一步证实纤维化相关互作减少而肾小管信号增强。空间邻近分析显示,在纤维化生态位及其邻近细胞中,cKO肾脏的胶原基因表达显著降低,OXPHOS基因表达升高。该研究在组织空间维度上证实,成纤维细胞特异性Ecm1缺失可重塑纤维化微环境,通过抑制基质产生并增强肾小管能量代谢来缓解纤维化进程。
  • 结果7、靶向YAP信号通路可增强管状OXPHOS并减轻纤维化
  • 使用TEAD1棕榈酰化抑制剂VT103处理单侧IRI小鼠。结果显示,VT103显著降低YAP、TAZ及TEAD1/4蛋白水平,抑制YAP/TAZ-TEAD转录活性,并改善肾功能(Scr降低),下调纤维化相关基因(Fn、Col1a1、Col3a1)及促炎因子(Il6、Il1b、Tnf)表达,减少COL1A1、FN、α-SMA蛋白水平及胶原沉积,同时上调线粒体OXPHOS复合物并升高ATP水平。体外实验进一步证实,泛TEAD自棕榈酰化抑制剂VT107可有效抑制ECM1诱导的肾小管细胞去分化和TGFβ诱导的成纤维细胞活化,但选择性增强肾小管细胞(TCMK-1)的线粒体OXPHOS功能(基础呼吸、最大呼吸及ATP产生均显著增加),而对成纤维细胞OXPHOS影响微弱。该研究表明,靶向YAP-TEAD信号可通过差异性调控肾小管细胞能量代谢(增强OXPHOS)和成纤维细胞活化,从而缓解肾纤维化。
  • 结果8、在体外实验中,敲低Ecm1在成纤维细胞中通过YAP增强管状细胞OXPHOS
  • 为验证成纤维细胞来源的ECM1对肾小管线粒体功能的调控作用及机制,研究通过体外共培养、条件培养基干预及脱细胞基质支架等体系发现:沉默成纤维细胞Ecm1可抑制TGFβ诱导的成纤维细胞活化及整合素α2表达,而重组ECM1蛋白则促进活化并上调整合素α2、YAP/TAZ水平。将肾小管细胞接种于Ecm1沉默成纤维细胞来源的脱细胞支架,或暴露于其条件培养基/共培养体系后,小管细胞中FN、整合素β1、RhoC、YAP/TAZ表达降低,线粒体OXPHOS复合物上调,糖酵解基因Hk2和脂滴包被蛋白Plin2表达下降;反之,rECM1处理则上调FN、α-SMA、整合素β1、RhoC(而非RhoA)、YAP/TAZ,抑制OXPHOS,下调Ppara和Pgc1a,并诱导F-actin骨架重构。机制上,阻断整合素-FAK信号(PF573228)、选择性抑制整合素α2β1(BTT-3033)或沉默Itgb1/Rhoc均可消除rECM1诱导的纤维化激活及YAP上调,恢复OXPHOS功能及F-actin正常排列。该研究证实,成纤维细胞特异性Ecm1缺失通过干扰整合素α2β1-RhoC轴,抑制肾小管YAP活性,减少YAP核转位及YAP-TEAD4复合物形成,从而解除TEAD4对Pgc1a的转录抑制,增强小管细胞线粒体OXPHOS,重塑促修复微环境以缓解肾纤维化。
  • 最后来看看方法
  • 分子对接
  • 生活很好,有你更好
领券
问题归档专栏文章快讯文章归档关键词归档开发者手册归档开发者手册 Section 归档