今天将分享多模态腹部多器官分割完整实现版本,为了方便大家学习理解整个流程,将整个流程步骤进行了整理,并给出详细的步骤结果。感兴趣的朋友赶紧动手试一试吧。
一、AMOS2022介绍
AMOS2022挑战赛是一种大规模、临床和多样化的腹部多器官分割基准。它提供了从多中心、多供应商、多模式、多阶段、多疾病患者收集的 500例 CT 和 100 例MRI ,每一例都有15个腹部器官的体素级注释。

AMOS2022数据集示例说明,提供了 500 例 CT 和 100 例MRI 以及 15 个腹部器官的体素级别注释, 包括脾脏、右肾、左肾、胆囊、食道、肝脏、胃、主动脉、下腹部腔静脉、胰腺、右肾上腺、左肾上腺、十二指肠、膀胱、前列腺/子宫。请注意,某些数据点由于生理移除或由于未扫描身体部位而丢失了某些器官。
二、AMOS2022任务
AMOS 2022 包含两个任务,参与团队可以在其中进行并提交他们的结果:
a) 任务 1 - 腹部器官分割(仅限 CT):作为一项主要的常规任务,任务 1 旨在全面评估不同分割方法在大规模和多样性 CT 扫描中的性能,共有 500 例注释展示了 15 个器官(脾脏、右肾、左肾、胆囊、食道、肝脏、胃、主动脉、下腔静脉、胰腺、右肾上腺、左肾上腺、十二指肠、膀胱、前列腺/子宫)。
b) 任务 2 - 腹部器官分割(CT 和 MRI):此任务将任务 1 的图像模态目标扩展到 MRI 模态。在这样的“交叉模式”设置下,需要一个算法来从 CT 和 MRI 中分割腹部器官。具体来说,将提供额外的 100 个具有相同类型注释的 MRI 扫描。
三、AMOS2022数据集
挑战中使用了两个数据库:腹部 CT 和 MRI。这两个数据库中的每个数据集对应于属于单个患者的一系列 DICOM 图像。这些数据集是从龙岗区中心医院(中国深圳)和龙岗区人民医院(中国深圳)回顾性收集的。从 CT 和 MR 数据库获得的数据集之间没有联系(即它们是从不同的患者获得的并且没有注册)。
共500张CT和MRI,标注了15个器官(脾、右肾、左肾、胆囊、食道、肝、胃、主动脉、下腔静脉、胰腺、右肾上腺、左肾上腺、十二指肠、膀胱、前列腺) /子宫)呈现。请注意,某些数据点由于生理移除或由于未扫描身体部位而丢失了某些器官。
训练和测试数据:训练数据包含所选数据集(即患者)的完整图像及金标准数据。对于任务 1 的 500 次 CT 扫描,计划进行 40%/20%/40% 的拆分,得到 200 个训练用例、100 个验证用例和 200 个测试用例。对于任务2,计划将500个CT和100个MRI扫描拆分,得到200个CT+40个MRI训练案例、100个CT+20个MRI验证案例和200个CT+40个MRI测试案例。CT 数据的拆分在两个任务中将保持不变。
评估指标:骰子相似系数 (DSC) 和归一化表面骰子 (NSD),将用于评估分割方法性能的不同方面。
四、技术路线
前面的文章也介绍过AMOS腹部器官分割,详情请参考这两篇文章,AMOS2022——腹部多器官分割挑战赛,AMOS2022——腹部多器官分割挑战赛(二)。
本文将采用二阶网络分割提取方法,第一个粗分割网络来定位腹部器官大致区域范围,第二个精细分割网络来分割提取腹部器官,与前面的文章不同之处在于将CT和MR数据混合在一起进行训练。
1、人体ROI区域提取,由于腹部器官是在人体内部的,其余都是背景,为了减少背景对分割效果的影响,首先要对人体区域进行提取。具体步骤如下:通过阈值分割(-500,5000)对图像进行二值化分割,然后采用核大小是3的形态学开操作对二值图像进行处理,再使用最大连通域分析得到人体区域,分析得到人体的bounding box。根据这个bounding box将原始图像和标注图像的ROI提取出来。
2、分析ROI图像信息,得到图像平均大小是502x328x145,因此将图像缩放到固定大小256x256x256。
3、图像预处理,对步骤2的原始图像进行5%-95%的截断,然后采用均值为0,方差为1的方式进行归一化处理。然后将数据分成训练集和验证集,对训练集做10倍数据增强处理。
4、搭建VNet3d网络,使用AdamW优化器,学习率是0.001,batchsize是1,epoch是300,损失函数采用二分类的dice和交叉熵。
5、训练结果和验证结果


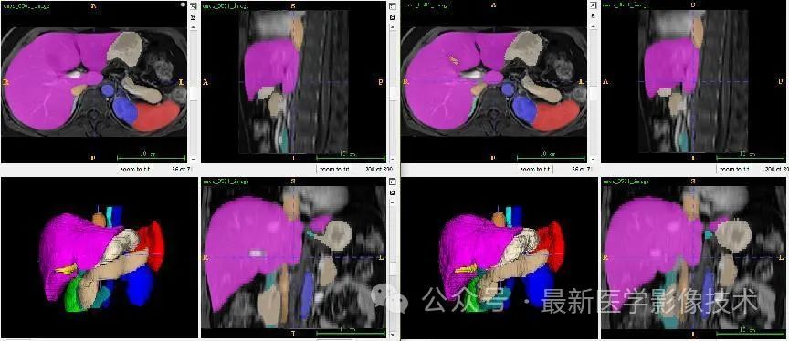
6、验证集分割结果
左图是金标准结果,右图是预测结果。






7、根据粗分割出来的结果先进行形态学膨胀(核大小为10),再提取原始图像和标注图像的ROI。
8、分析步骤7ROI图像信息,得到图像平均大小是377x249x143,因此将图像缩放到固定大小320x256x224。
9、图像预处理,对步骤8的原始图像进行5%-95%的截断,然后采用均值为0,方差为1的方式进行归一化处理。然后将数据分成训练集和验证集,对训练集做10倍数据增强处理。
10、搭建VNet3d网络,使用AdamW优化器,学习率是0.001,batchsize是1,epoch是300,损失函数采用多分类的dice和交叉熵。
11、训练结果和验证结果


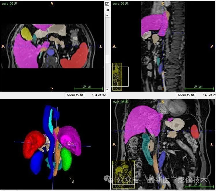
12、验证集分割结果
左图是金标准结果,右图是预测结果。






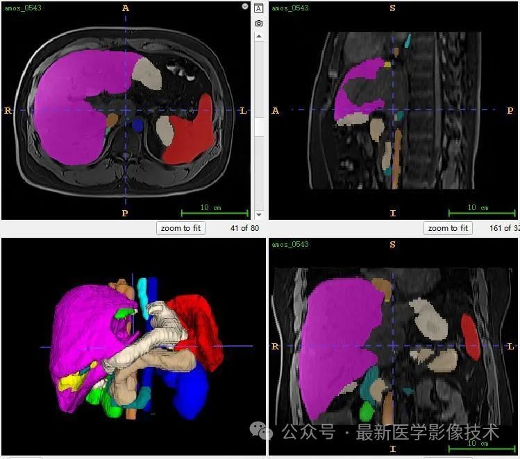
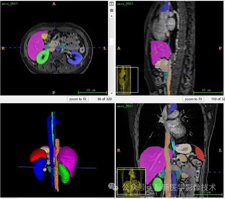
13、测试集分割结果


















