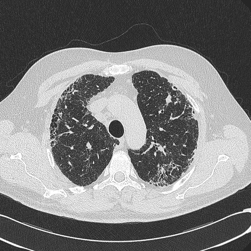
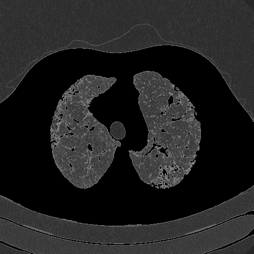
我在图像1上使用阈值掩码(图2)创建了以下图像(图3)。我试图使用opencv将图像3(肺)中央图像之外的所有像素转换为一种颜色(例如黑色)。基本上,这样我就只能在一个均匀的背景下(甚至是透明的)看到肺部的图像。我的问题是外部像素和图像3中肺内像素的相似性。这能用opencv吗?



发布于 2017-11-25 07:16:57
只需floodFill()的面具从边界的图像与黑色。请参阅我的答案这里中的洪水填充步骤,以查看它在另一个场景中的使用。
类似地,您可以使用floodFill()来查找哪些像素连接到图像的边缘,这意味着您可以使用它将肺中的空洞从阈值中放回。关于这个填洞过程的另一个例子,请看我的答案这里。
我直接从上面的答案中复制和粘贴代码,只修改变量名称:
import cv2
import numpy as np
img = cv2.imread('img.jpg', 0)
mask = cv2.imread('mask.png', 0)
# flood fill to remove mask at borders of the image
h, w = img.shape[:2]
for row in range(h):
if mask[row, 0] == 255:
cv2.floodFill(mask, None, (0, row), 0)
if mask[row, w-1] == 255:
cv2.floodFill(mask, None, (w-1, row), 0)
for col in range(w):
if mask[0, col] == 255:
cv2.floodFill(mask, None, (col, 0), 0)
if mask[h-1, col] == 255:
cv2.floodFill(mask, None, (col, h-1), 0)
# flood fill background to find inner holes
holes = mask.copy()
cv2.floodFill(holes, None, (0, 0), 255)
# invert holes mask, bitwise or with mask to fill in holes
holes = cv2.bitwise_not(holes)
mask = cv2.bitwise_or(mask, holes)
# display masked image
masked_img = cv2.bitwise_and(img, img, mask=mask)
masked_img_with_alpha = cv2.merge([img, img, img, mask])
cv2.imwrite('masked.png', masked_img)
cv2.imwrite('masked_transparent.png', masked_img_with_alpha)编辑:作为一个旁白,“透明度”基本上是一个掩码:值告诉你每个像素有多不透明。如果像素是0,它是完全透明的,如果它是255 (对于uint8),那么它是完全不透明的,如果它处于-中间,那么它是部分透明的。因此,最后使用的完全相同的掩码可以叠加到图像上,以创建第四个alpha通道(您可以使用cv2.merge或numpy进行堆栈),它将使掩码中的每0像素都完全透明;只需将图像保存为png以提高透明度。上面的代码创建了一个具有alpha透明度的图像,以及一个具有黑色背景的图像。

这里的背景看起来是白色的,因为它是透明的,但是如果您将图像保存到您的系统中,您将看到它实际上是透明的。FYI OpenCV实际上在imshow()期间忽略了alpha通道,所以您只会看到保存图像的透明度。
编辑:最后一次note...here你的阈值已经移除了肺的一些部分。我在肺内的阈值中加入了一些洞,但这遗漏了一些被移除的边界上的块。如果你在面具上做轮廓检测,如果它很重要的话,你实际上也可以平滑一些。查看OpenCV的轮廓特征教程上的“等高线近似”一节。基本上,它将试图平滑轮廓,但坚持在一定的epsilon距离的实际轮廓。这可能很有用,而且很容易实现,所以我想我会把它作为一个建议放在这里。
https://stackoverflow.com/questions/47483411
复制相似问题