我从以下图片开始:

我通过将像素与其邻域平均值进行比较来执行局部阈值处理。在使用以下代码进行本地阈值处理之后,我还会突出图像周围的白色边框:
I = imread('img_path');
N = 21;
localMean = conv2(double(I), double(1/(N^2) * ones(N)), 'same');
BW = I > localMean;
borderSize = ceil(double(N) / 2);
R = [borderSize, borderSize, size(BW, 2) - 2*borderSize, size(BW, 1) - 2*borderSize];
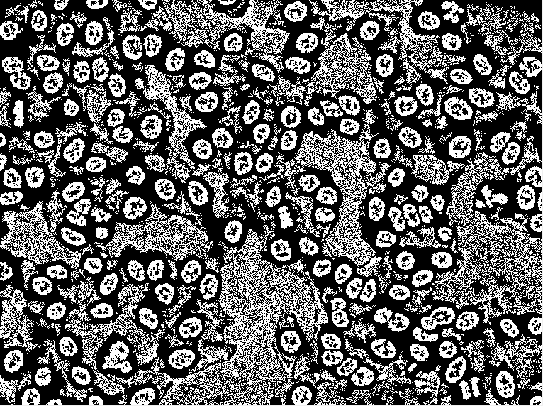
BW = imcrop(BW, R);这给我留下了以下图像:

如你所见,每个分割的细胞周围都有一个清晰的黑色边框。我该如何移除这张图片中的所有东西,而不是那些在黑色边界内的区域?
如果这是不可能的,那么还有什么其他的技术可以让我的局部阈值更少的噪音呢?
任何帮助都是非常感谢的。
发布于 2017-05-07 08:14:53
您可以使用Otsu的阈值(graythresh)和形态学操作:
im = im2double(imread('cells.png'));
% otsu thresholding
t = graythresh(im);
bw = im > t;
% morphological open to remove small noise
bw = imopen(bw,strel('disk',5,0));
% fill holes to form solid objects
bw = imfill(bw,'holes');
% show
imshow(bw)

https://stackoverflow.com/questions/43829177
复制相似问题