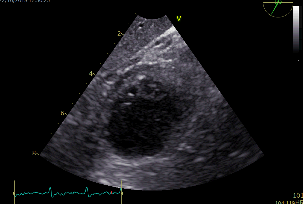
我需要有人帮我做一个项目。我的意图是用OpenCV和python裁剪声纳的视频,以便进一步处理它们。我要寻找的特征是:
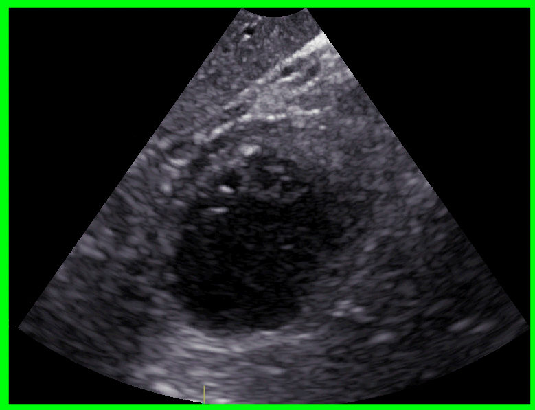
现在,我有点卡在轮廓查找和裁剪部分。我想让OpenCV自动识别环绕超声形状的包围盒,知道所有的视频都有特定的圆锥形状。此外,如果能消除不相关的杂波,那就太好了。你能帮帮我吗?附加您可以找到一个原始帧的视频和希望的结果。
import cv2
import numpy as np
cap = cv2.VideoCapture('video.mjpg')
# (x, y, w, h) = cv2.boundingRect(c)
# cv2.rectangle(frame, (x,y), (x+w, y+h), (0, 255, 0), 20)
# roi = frame[y:y+h, x:x+w]
while True:
ret, frame = cap.read()
# (height, width) = frame.shape[:2]
sky = frame[0:100, 0:200]
cv2.imshow('Video', sky)
if cv2.waitKey(1) == 27:
exit(0)


发布于 2021-08-19 17:56:22
对于第一帧视频,您可以使用它检测图像的边界框,然后可以裁剪它或任何您想要的内容:)
import sys
import cv2
import numpy as np
# Load our image
dir = sys.path[0]
org = cv2.imread(dir+'/im.png')
im=org.copy()
H,W=im.shape[:2]
# Convert image to grayscale
im=cv2.cvtColor(im,cv2.COLOR_BGR2GRAY)
# remove noise
im=cv2.GaussianBlur(im,(21,21),21)
im=cv2.erode(im,np.ones((5,5)))
# remove horizantal line
im=cv2.GaussianBlur(im,(5,0),21)
blr=im.copy()
# make binary image
im=cv2.threshold(im,5,255,cv2.THRESH_BINARY)[1]
# draw black border around image to better detect blobs:
cv2.rectangle(im,(0,0),(W,H),0,thickness=W//25)
bw=im.copy()
# Invert the black and white colors
im=~im
# Find contours and sort them by width
cnts, _ = cv2.findContours(im, cv2.RETR_TREE, cv2.CHAIN_APPROX_NONE)
cnts.sort(key=lambda x: cv2.boundingRect(x)[2],reverse=True)
# Change the type and channels of image copies
im=cv2.cvtColor(im,cv2.COLOR_GRAY2BGR)
bw=cv2.cvtColor(bw,cv2.COLOR_GRAY2BGR)
blr=cv2.cvtColor(blr,cv2.COLOR_GRAY2BGR)
# Find the second biggest blob
x, y, w, h = cv2.boundingRect(cnts[1])
cv2.rectangle(org, (x, y), (x+w, y+h), (128, 0, 255), 10)
cv2.rectangle(im, (x, y), (x+w, y+h), (128, 255, 0), 10)
print(x,y,w,h)
# Save final result
top=np.hstack((blr,bw))
btm=np.hstack((im,org))
cv2.imwrite(dir+'/img_.png',np.vstack((top,btm)))

包围-盒区:
133 25 736 635剪切并保存最终图像:
org = cv2.imread(dir+'/im.png')
cv2.imwrite(dir+'/img_.png',org[y:y+h,x:x+w])

https://stackoverflow.com/questions/68848753
复制相似问题