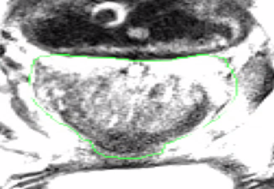
我试图绘制一个图像的轮廓,并使它覆盖到原来的图像,但没有填充,我希望它显示为一个边缘轮廓,而不是一个填充的轮廓,如附图。

我使用了这个命令,但问题是当我使用LabelOverlay函数时,图像对比度发生了变化!虽然我需要保持相同的图像强度,有什么办法解决它吗?代码是: sitk_show(SimpleITK.LabelOverlay(imgOriginal1,SimpleITK.LabelContour(ImgOriginal2))
发布于 2022-08-30 05:07:24
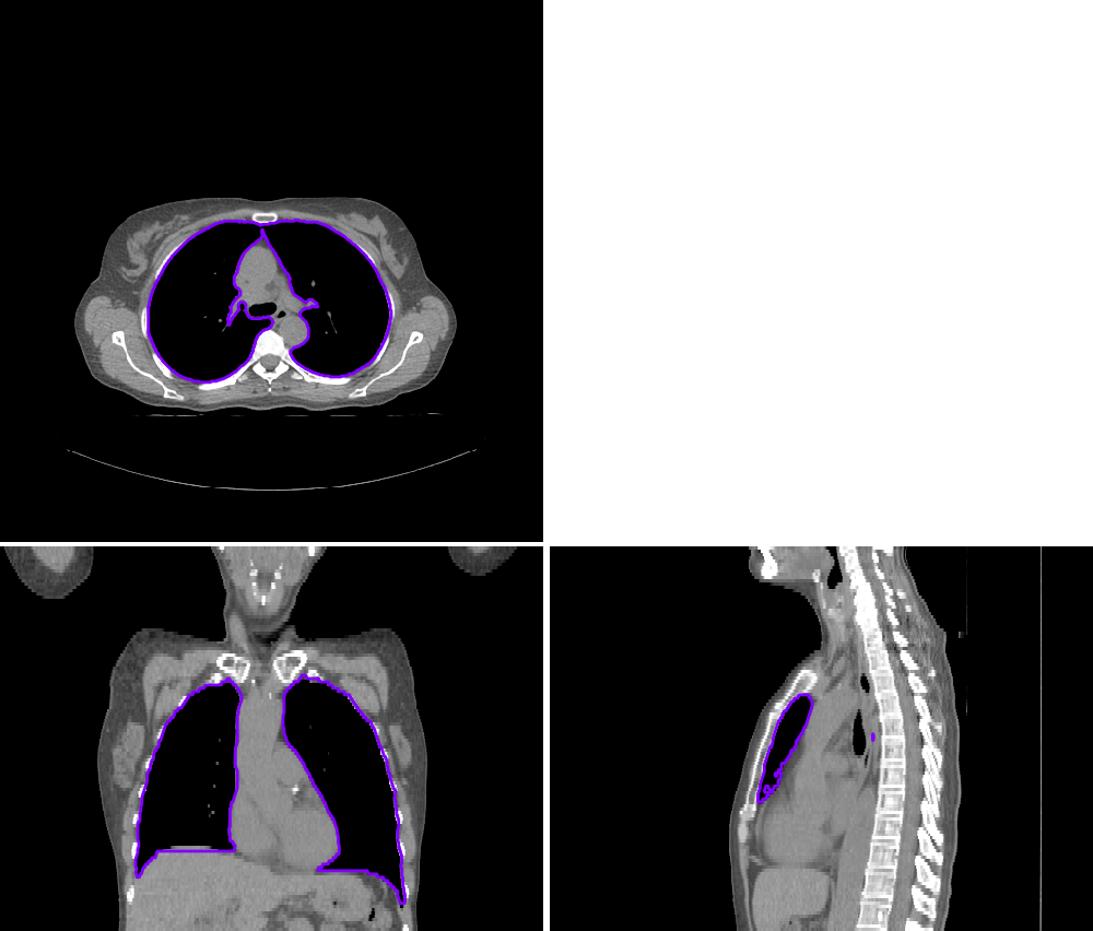
我鼓励你去看看陈腐 --这是一个软件包,我是一个开发人员,并且已经为可视化构建了一些很好的工具。
下面是一个示例:
import SimpleITK as sitk
from platipy.imaging import ImageVisualiser
img = sitk.ReadImage("./CT.nii.gz")
mask = sitk.ReadImage("./MASK_LUNGS.nii.gz")
vis = ImageVisualiser(img)
vis.add_contour(mask)
fig = vis.show()
fig.savefig("example.jpeg", dpi=300)

这个工具是高度定制的,请查看关于Github :-)的文档。)
https://stackoverflow.com/questions/73016013
复制相似问题