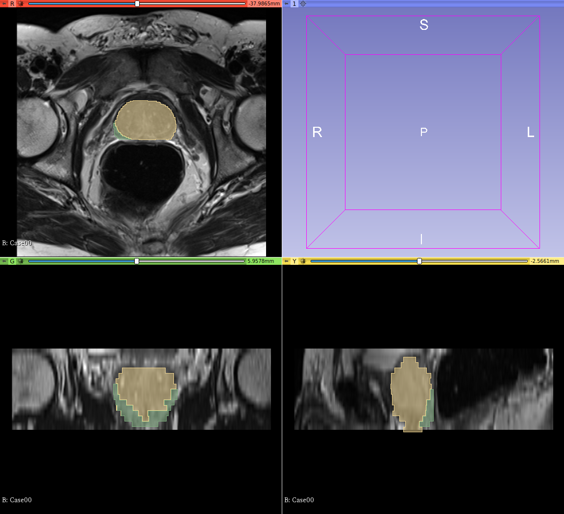
我有前列腺的医学图像,每个图像都有两个解剖标签: label0=背景label1=周边区,Label2=过渡带。
我想把两个标签组合起来,使它们成为一个标签,形成整个前列腺结构,你能帮我做这个吗?
随附的图片更多地证实了我的问题:

发布于 2022-02-28 14:44:58
您可以将分段掩码的值clip到范围[0, 1] (而不是[0, 2]):裁剪后,所有标签>0(非背景)的像素都将具有标签1。
https://stackoverflow.com/questions/71296495
复制相似问题