
Everolimus(依维莫司,AbMole)是一种雷帕霉素(Rapamycin)的衍生物,能特异性抑制哺乳动物雷帕霉素靶蛋白(mTOR)复合物1(mTORC1)的丝氨酸-苏氨酸激酶活性,调控下游信号通路,包括降低p-p70S6K、p-4EBP1、p-S6K及核糖体蛋白S6(RPS6)的磷酸化水平,诱导自噬(该过程可被3-Methyladenine Chloroquine 或Bafilomycin A1 阻断)、触发G0/G1期细胞周期阻滞、促进凋亡,并影响糖酵解和炎症因子分泌。Everolimus(RAD001)具有抗肿瘤活性,例如在786-0、ACHN等透明细胞癌及乳头状癌细胞系中,1–10 µM 的Everolimus能剂量依赖性地抑制细胞增殖[1]。Everolimus(SDZ-RAD,AbMole)在部分耐药的肿瘤细胞中(如MCF-7:5C和MCF-7:2A),能诱导G1期阻滞(下调cyclin D1、p21),降低ER表达与转录活性、HSP90的水平,并恢复细胞对4-羟基他莫昔芬(4-Hydroxytamoxifen) 的敏感性[2]。
此外,在PI3K/PTEN突变的三阴性乳腺癌CAL-51细胞中,Everolimus(CAS No.:68047-06-3)与Gefitinib(吉非替尼)联用显著抑制mTOR/P70S6K磷酸化及4E-BP1激活,诱导凋亡[3]。Everolimus(依维莫司)还具有抗病毒与免疫调节活性,例如在巨细胞病毒(CMV)感染的细胞模型中,实验人员发现Everolimus通过抑制mTORC1,显著减少感染细胞数量(降至对照组40%),抑制病毒DNA合成与释放[4];在AGS细胞中,Everolimus能抑制NF-κB通路,减轻幽门螺杆菌诱导的ROS/MDA水平,降低IL-6、TNF-α、IL-8等促炎因子表达及THP-1细胞的黏附[5]。Everolimus还能抑制动物器官移植模型中的免疫排斥反应,例如在肝脏和肾脏移植模型中能够有效抵抗排斥反应,促进Treg生成,增强免疫耐受[6]。
范例详解
Oncogene. 2020 Apr;39(15):3163-3178.
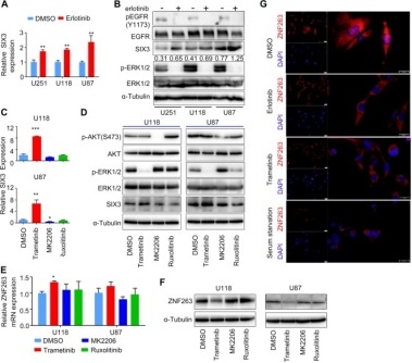
实验人员在该文章中使用了由AbMole提供的Trametinib (JTP-74057,AbMole,M1759) , Chloroquine (磷酸氯喹,AbMole,M2510) , Rapamycin (雷帕霉素,AbMole,M1768) , RAD001 (Everolimus,AbMole,M1909) , and MG132 (AbMole,M1902) 。实验人员探究了胶质母细胞瘤中EGFR-ZNF263信号轴如何通过表观遗传机制沉默SIX3基因。在实验中,Rapamycin 、Chloroquine、RAD001等用于证实mTOR及自噬信号通路在SIX3基因沉默过程中的作用;而MG132 和Trametinib 则分别用于阐述蛋白酶体和MEK通路与SIX3基因沉默的相关性。

图 1. The MAPK pathway is the main downstream effector of EGFR-mediated epigenetic silencing of SIX3[7].
参考文献及鸣谢
[1] Kornakiewicz, A.; Czarnecka, A. M.; Khan, M. I.; et al. Effect of Everolimus on Heterogenous Renal Cancer Cells Populations Including Renal Cancer Stem Cells. Stem cell reviews and reports 2018, 14 (3), 385-397.
[2] Lui, A.; New, J.; Ogony, J.; et al. Everolimus downregulates estrogen receptor and induces autophagy in aromatase inhibitor-resistant breast cancer cells. BMC cancer 2016, 16, 487.
[3] El Guerrab, A.; Bamdad, M.; Bignon, Y. J.; et al. Co-targeting EGFR and mTOR with gefitinib and everolimus in triple-negative breast cancer cells. Scientific reports 2020, 10 (1), 6367.
[4] Tan, L.; Sato, N.; Shiraki, A.; et al. Everolimus delayed and suppressed cytomegalovirus DNA synthesis, spread of the infection, and alleviated cytomegalovirus infection. Antiviral research 2019, 162, 30-38.
[5] Liu, J.; Zhang, F.; Zhang, Z.; et al. Everolimus ameliorates Helicobacter pylori infection-induced inflammation in gastric epithelial cells. Bioengineered 2022, 13 (5), 11361-11372.
[6] Levitsky, J.; Miller, J.; Huang, X.; et al. Immunoregulatory Effects of Everolimus on In Vitro Alloimmune Responses. PloS one 2016, 11 (6), e0156535.
[7] Yu, Z.; Feng, J.; Wang, W.; et al. The EGFR-ZNF263 signaling axis silences SIX3 in glioblastoma epigenetically. Oncogene 2020, 39 (15), 3163-3178.
动物实验参考
动物模型:Transgenic mice expressing the L858R mutation of EGFR
配制:Not mentioned
剂量:10 mg/kg
给药处理:Oral administration
参考文献:Experimental cell research, 2014, 326(2): 201-209.
* 上述方法来自公开文献,仅供相同目的实验参考。如实验目的、材料、方法不同,请参考其他文献。
原创声明:本文系作者授权腾讯云开发者社区发表,未经许可,不得转载。
如有侵权,请联系 cloudcommunity@tencent.com 删除。
原创声明:本文系作者授权腾讯云开发者社区发表,未经许可,不得转载。
如有侵权,请联系 cloudcommunity@tencent.com 删除。