
Tunicamycin(衣霉素)是一种从链霉菌(Streptomyces)中衍生的天然产物,主要作为N-连接糖基化抑制剂,通过靶向GlcNAc-1-P-transferase (GPT)抑制N-糖基化的初始步骤[1],能导致内质网(ER)应激[2],进而影响蛋白质折叠和功能,例如在细胞实验中使用Tunicamycin处理HEK293细胞时(浓度为5 μg/ml或0.1 μM),显著减少OATP1A2/OATP2B1的膜表达和功能[3],Tunicamycin(浓度为0.1 μg/ml)在SH-SY5Y人神经母细胞瘤细胞中可诱导细胞凋亡并降低细胞存活率[4],Tunicamycin(CAS No.:11089-65-9)在胶质母细胞瘤细胞中可抑制增殖、迁移和侵袭,并诱导S期细胞周期停滞[5],而在角质细胞(primary keratinocytes)可导致细胞间黏附强度降低和桥粒形成受损[6],Tunicamycin在Ca3.1-T型钙通道研究中处理小时,导致激活曲线向去极化电位偏移[6],衣霉素在Ibaraki病毒(IBAV)感染模型中,抑制了NS3糖基化和病毒传播[7]。
衣霉素(Tunicamycin,AbMole,M4798)在动物实验中,被广泛用于诱导多种疾病模型,例如Tunicamycin在小鼠中腹腔注射剂量为1 mg/kg或20-50 mg/kg,用于研究肝能量代谢紊乱或肿瘤抑制,在大鼠(rats)脑内注射(0.1 μg/半球)用于研究帕金森病模型,Tunicamycin还在糖尿病大鼠模型中用于研究神经病变,以及在大鼠肝纤维化模型中影响NO-sGC-cGMP通路调控,这些应用证实了Tunicamycin在细胞和动物模型中作为研究工具的价值,其浓度和剂量要根据实验需求调整以模拟特定应激条件。
范例详解
Int J Surg. 2025 Feb 1;111(2):1801-1813.
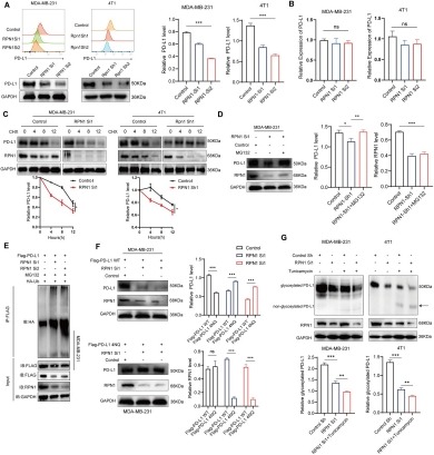
重庆医科大学的科研团队在上述文章中使用了AbMole的Tunicamycin(衣霉素,AbMole,M4798),研究发现:RPN1在TNBC(三阴性乳腺癌)细胞中异常高表达,与肿瘤增殖增加和不良预后相关;RPN1科介导PD-L1的翻译后修饰,增强其糖基化和稳定性,从而促进PD-L1相关的肿瘤免疫逃逸和生长;RPN1的缺失改善了TNBC微环境,增强了抗PD-1的抑制效果;综上,该研究揭示了一个新的调控轴YY1/RPN1/YBX1在PD-L1调控中的作用,影响TNBC的生长和转移。Tunicamycin是一种蛋白质N-糖基化抑制剂,在本文中的主要作用是:抑制蛋白质的N-糖基化过程、验证RPN1对PD-L1糖基化的调控作用、证明糖基化对PD-L1稳定性的影响。

RPN1 impacts the degradation of PD-L1 protein by modulating the process of glycosylation.
参考文献及鸣谢
[1] Uhlman, A.; Folkers, K.; Liston, J.; et al. Effects of Vacuolar H(+)-ATPase Inhibition on Activation of Cathepsin B and Cathepsin L Secreted from MDA-MB231 Breast Cancer Cells. Cancer microenvironment : official journal of the International Cancer Microenvironment Society 2017, 10 (1-3), 49-56.
[2] Yoo, J.; Mashalidis, E. H.; Kuk, A. C. Y.; et al. GlcNAc-1-P-transferase-tunicamycin complex structure reveals basis for inhibition of N-glycosylation. Nature structural & molecular biology 2018, 25 (3), 217-224.
[3] Kataoka, H.; Akiyoshi, T.; Uchida, Y.; et al. The Effects of N-Glycosylation on the Expression and Transport Activity of OATP1A2 and OATP2B1. Journal of pharmaceutical sciences 2024, 113 (5), 1376-1384.
[4] Kurita, H.; Okuda, R.; Yokoo, K.; et al. Protective roles of SLC30A3 against endoplasmic reticulum stress via ERK1/2 activation. Biochemical and biophysical research communications 2016, 479 (4), 853-859.
[5] Cui, X.; Sun, D.; Shen, B.; et al. MEG-3-mediated Wnt/beta-catenin signaling pathway controls the inhibition of tunicamycin-mediated viability in glioblastoma. Oncology letters 2018, 16 (3), 2797-2804.
[6] Jin, S. P.; Chung, J. H. Inhibition of N-glycosylation by tunicamycin attenuates cell-cell adhesion via impaired desmosome formation in normal human epidermal keratinocytes. Bioscience reports 2018, 38 (6).
[7] Maeda, Y.; Shibutani, S.; Iwata, H. Partial glycosylation of the Ibaraki virus NS3 protein is sufficient to support virus propagation. Virology 2021, 563, 44-49.
原创声明:本文系作者授权腾讯云开发者社区发表,未经许可,不得转载。
如有侵权,请联系 cloudcommunity@tencent.com 删除。
原创声明:本文系作者授权腾讯云开发者社区发表,未经许可,不得转载。
如有侵权,请联系 cloudcommunity@tencent.com 删除。