首页
学习
活动
专区
圈层
工具
发布
社区首页 >专栏 >AbMole丨FCCP:破坏质子梯度调节细胞行为抑制细胞迁移和代谢

AbMole丨FCCP:破坏质子梯度调节细胞行为抑制细胞迁移和代谢

原创
作者头像
AbMole
发布2026-01-26 11:49:12
发布2026-01-26 11:49:12
1620
举报

FCCP(Carbonyl cyanide-4-(trifluoromethoxy)phenylhydrazone,AbMole,M9051)是一种经典的线粒体氧化磷酸化解偶联剂,通过破坏线粒体内膜质子梯度抑制ATP合成,同时显著增强耗氧量。其作用机理涉及直接穿透线粒体内膜,转运质子(H⁺)以消除电化学梯度,导致电子传递链(ETC)持续运转但无法生成ATP[1]。研究显示,FCCP可诱导线粒体膜电位(ΔΨm)去极化,并触发钙离子(Ca²+)外流[2]。在细胞模型中,FCCP被广泛用于研究能量代谢与细胞行为的关系。例如,在人骨髓间充质干细胞(hMSCs)中,低浓度(0.1 μM)FCCP(CAS No.:370-86-5)即可显著抑制细胞微运动和伤口愈合迁移能力,表明线粒体能量供应对细胞运动至关重要[3]。FCCP在肿瘤研究中,可通过抑制Rac1/PAK1/LIMK1/cofilin信号轴,削弱U2OS骨肉瘤细胞的骨架动态重塑和迁移能力[4]。此外,FCCP还能通过抑制活性氧(ROS)积累和线粒体磷脂(如心磷脂)过氧化来缓解氧化应激,例如在万古霉素(Vancomycin)诱导的细胞损伤模型中,FCCP可逆转线粒体膜电位崩溃和ROS生成[5]。动物实验中,FCCP常用于探索线粒体功能与组织功能的关联。例如,在大鼠模型中,FCCP通过触发PGAM5蛋白剪切和TFAM(线粒体转录因子A)表达,恢复运动功能。FCCP与葡萄糖代谢抑制剂如2-DG(2-脱氧-D-葡萄糖)联用可激活AMPK并抑制Wnt信号通路,该组合在能量应激研究中被广泛使用[6]。

范例详解

Cell Rep. 2025 May 27;44(5):115744.

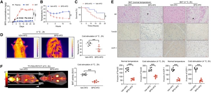
四川大学华西医院的科研人员在上述文章中使用了AbMole的FCCP(Carbonyl cyanide-4-(trifluoromethoxy)phenylhydrazone,AbMole,M9051),实验人员揭示了双酚S(BPS)在肥胖发生发展中的作用机制:BPS暴露会以加剧雌性小鼠的饮食诱导肥胖,其背后机制是BPS通过诱导棕色脂肪组织(BAT)"变白"(whitening)导致产热功能障碍,并导致脂肪累积。FCCP(fluoro carbonyl cyanide phenylhydrazone,羰基氰化物-4-(三氟甲氧基)苯腙)是一种经典的线粒体解偶联剂,在该研究中发挥了关键的作用:通过FCCP刺激后的OCR变化,可以精准量化BPS暴露对棕色脂肪细胞线粒体功能的损伤程度,直接验证BPS是否通过抑制线粒体功能导致BAT变白。

BPS exposure leads to the whitening of BAT in female mice

*本文所述产品仅供科研使用

参考文献及鸣谢

[1] Schiffer, T. A.; Lof, L.; Gallini, R.; et al. Mitochondrial Respiration-Dependent ANT2-UCP2 Interaction. Frontiers in physiology 2022, 13, 866590.

[2] Chang, E. E.; Liu, H.; Choi, Z. Y.; et al. Loss of mitochondrial Ca(2+) response and CaMKII/ERK activation by LRRK2(R1441G) mutation correlate with impaired depolarization-induced mitophagy. Cell communication and signaling : CCS 2024, 22 (1), 485.

[3] Wang, S. H.; Tung, T. H.; Chiu, S. P.; et al. Detecting Effects of Low Levels of FCCP on Stem Cell Micromotion and Wound-Healing Migration by Time-Series Capacitance Measurement. Sensors (Basel, Switzerland) 2021, 21 (9).

[4] Zhang, M.; Chen, L.; Liu, Y.; et al. Sea cucumber Cucumaria frondosa fucoidan inhibits osteosarcoma adhesion and migration by regulating cytoskeleton remodeling. Oncology reports 2020, 44 (2), 469-476.

[5] Sakamoto, Y.; Yano, T.; Hanada, Y.; et al. Vancomycin induces reactive oxygen species-dependent apoptosis via mitochondrial cardiolipin peroxidation in renal tubular epithelial cells. European journal of pharmacology 2017, 800, 48-56.

[6] Zhang, W.; Sviripa, V. M.; Kril, L. M.; et al. An Underlying Mechanism of Dual Wnt Inhibition and AMPK Activation: Mitochondrial Uncouplers Masquerading as Wnt Inhibitors. Journal of medicinal chemistry 2019, 62 (24), 11348-11358.

原创声明:本文系作者授权腾讯云开发者社区发表,未经许可,不得转载。

如有侵权,请联系 cloudcommunity@tencent.com 删除。

原创声明:本文系作者授权腾讯云开发者社区发表,未经许可,不得转载。

如有侵权,请联系 cloudcommunity@tencent.com 删除。

评论
登录后参与评论
0 条评论
热度
最新
推荐阅读
领券
问题归档专栏文章快讯文章归档关键词归档开发者手册归档开发者手册 Section 归档